Epithelium lines _______ and _______.
Epithelium lines internal and external body surfaces and cavities.
The functions of epithelium include _______, _______, and _______.
The functions of epithelium include protection, secretion, and absorption.
Histologically, epithelium has one or more _______ of cells that are _______ with one another.
Histologically, epithelium has one or more layers of cells that are contiguous with one another.
Epithelial cells are _______ and devoid of _______.
Epithelial cells are tightly packed and devoid of interstitial space.
Each epithelial cell has a single _______.
Each epithelial cell has a single nucleus.
The properties of epithelium include being _______ and _______.
The properties of epithelium include being avascular and regenerative.
The basement membrane consists of two layers: - _______ - _______.
The basement membrane consists of two layers: - Basal Lamina - Reticular Lamina.
The basement membrane serves to _______ epithelial cells and provides support.
The basement membrane serves to anchor epithelial cells and provides support.
The apical side of epithelial cells _______.
The apical side of epithelial cells faces the free surface.
The basal side of epithelial cells _______.
The basal side of epithelial cells contacts the basement membrane.
The lateral side of epithelial cells is _______.
The lateral side of epithelial cells is adjacent to other epithelial cells.
In the apical domain, epithelial cells have junctions such as _______ and _______.
In the apical domain, epithelial cells have junctions such as zonula occludens and zonula adherens.
The lateral domain of epithelial cells contains _______ and _______ (desmosomes).
The lateral domain of epithelial cells contains gap junctions and maculae adherentes (desmosomes).
The basal domain of epithelial cells includes junctions with the _______, such as _______ and _______.
The basal domain of epithelial cells includes junctions with the basal lamina, such as hemidesmosomes and focal adhesions.
Most epithelial junctions depend on _______ and _______.
Most epithelial junctions depend on transmembrane proteins and cytoskeletal elements.
Tight Junctions, also known as _______, are located on the _______ of epithelial cells and seal off lateral spaces to create a _______.
Tight Junctions, also known as Occluding Junctions, are located on the lateral border of epithelial cells and seal off lateral spaces to create a barrier.
The main proteins involved in tight junctions are _______ and _______, which connect to the cytoskeleton via _______.
The main proteins involved in tight junctions are occludin and claudin, which connect to the cytoskeleton via actin filaments.
Adherens Junctions, also known as _______, are located on the _______ of cells and function as a type of _______.
Adherens Junctions, also known as Zonula Adherens, are located on the lateral border of cells and function as a type of anchoring junction.
The main function of Adherens Junctions is to reinforce bonding to deal with _______.
The main function of Adherens Junctions is to reinforce bonding to deal with mechanical stress.
Histological identifiers for Adherens Junctions include SEM and a clear _______ between cells, as well as increased _______ in the cytoplasm.
Histological identifiers for Adherens Junctions include SEM and a clear space between cells, as well as increased density in the cytoplasm.
Key junction proteins in Adherens Junctions include _______, _______, and _______.
Key junction proteins in Adherens Junctions include cadherin, catenins, and vinculin.
Adherens Junctions connect to the cytoskeleton via _______.
Adherens Junctions connect to the cytoskeleton via actin filaments.
Desmosomes, also known as _______, are located on the _______ of cells and function as a type of _______.
Desmosomes, also known as Macula Adherens, are located on the lateral border of cells and function as a type of anchoring junction.
The primary function of desmosomes is to reinforce bonding between cells, similar to _______.
The primary function of desmosomes is to reinforce bonding between cells, similar to spot welds.
Histologically, desmosomes can be identified by a _______ of two dark plates and fibers extending from these plates, known as _______.
Histologically, desmosomes can be identified by a sandwich of two dark plates and fibers extending from these plates, known as intermediate filaments.
Desmosomes contain junction proteins such as _______ which connect to the _______.
Desmosomes contain junction proteins such as cadherin which connect to the cytoskeleton.
Gap junctions are located on the _______ of adjacent cells and are a type of _______.
Gap junctions are located on the lateral border of adjacent cells and are a type of communicating junction.
Gap junctions allow direct passage of _______ between cells.
Gap junctions allow direct passage of signaling molecules between cells.
Histological identifiers for gap junctions include _______ and the _______ between membranes.
Histological identifiers for gap junctions include SEM and the narrowing of the gap between membranes.
Gap junctions are formed by _______ which are composed of _______.
Gap junctions are formed by connexons which are composed of connexin proteins.
Gap junctions allow small _______ to pass between cells but do not connect the _______.
Gap junctions allow small molecules to pass between cells but do not connect the cytoskeleton.
The hemidesmosome is a type of _______ located on the _______ of cells, connecting them to the _______.
The hemidesmosome is a type of anchoring junction located on the basal border of cells, connecting them to the basal lamina.
Hemidesmosomes reinforce bonding similar to _______ and are composed of junction proteins which are _______
Hemidesmosomes reinforce bonding similar to desmosomes and are composed of junction proteins which are integrins
The hemidesmosome anchors to the basal border via _______.
The hemidesmosome anchors to the basal border via intermediate filaments.
Focal adhesions are located on the _______ and serve as a type of _______ between the cell and the _______.
Focal adhesions are located on the basal border and serve as a type of anchoring junction between the cell and the basal lamina.
Focal adhesions reinforce bonding and are similar to _______ or _______.
Focal adhesions reinforce bonding and are similar to desmosomes or spot welds.
The key junction proteins involved in focal adhesions are _______
The key junction proteins involved in focal adhesions are integrins
Focal adhesions anchor to the basal border via _______.
Focal adhesions anchor to the basal border via actin.
The types of junctions include: - _______: Seals adjacent epithelial cells together; prevents leakage. - _______: Joins actin bundles between cells. - _______: Anchors intermediate filaments between cells. - _______: Allows passage of small water-soluble molecules. - _______: Anchors intermediate filaments to basal lamina.
The types of junctions include: - Tight Junctions: Seals adjacent epithelial cells together; prevents leakage. - Adherens Junctions: Joins actin bundles between cells. - Desmosomes: Anchors intermediate filaments between cells. - Gap Junctions: Allows passage of small water-soluble molecules. - Hemidesmosomes: Anchors intermediate filaments to basal lamina.
The junction that binds cells to adjacent cells through _______ is called _______.
The junction that binds cells to adjacent cells through actin filaments is called Adherens/Zonula Adherens.
The junction that anchors cells to basal lamina through _______ is called _______.
The junction that anchors cells to basal lamina through intermediate filaments is called Hemidesmosomes.
The junction between lateral epithelium cells that forms a _______ is called _______.
The junction between lateral epithelium cells that forms a barrier is called Tight/Occluding.
The junction that allows the passage of small molecules between adjacent cells is called _______.
The junction that allows the passage of small molecules between adjacent cells is called Gap.
The junction that binds cells to adjacent cells through _______ is called _______.
The junction that binds cells to adjacent cells through intermediate filaments is called Desmosomes/Macula Adherens.
The junction that anchors cells to basal lamina through _______ is called _______.
The junction that anchors cells to basal lamina through actin filaments is called Focal Adhesions.
Apical modifications are present on the _______ and are usually found on _______.
Apical modifications are present on the apical cell surface and are usually found on columnar shaped cells.
Microvilli are the _______ extension of membrane, while cilia are of _______ length and stereocilia are the _______.
Microvilli are the shortest extension of membrane, while cilia are of medium length and stereocilia are the longest.
Microvilli function to _______ for absorption and are found on many _______.
Microvilli function to increase surface area for absorption and are found on many epithelial cells.
The microvilli region can be referred to as _______ or _______.
The microvilli region can be referred to as striated or brush borders.
Histological identifiers for microvilli include a _______ at the apical surface and a _______ at the base of microvilli called the terminal web.
Histological identifiers for microvilli include a pinkish haze at the apical surface and a dark line at the base of microvilli called the terminal web.
Microvilli contain a core of _______ filaments and are anchored by a _______.
Microvilli contain a core of actin filaments and are anchored by a terminal web.
The properties of microvilli include limited _______ and cytoplasmic processes containing a core of _______.
The properties of microvilli include limited movement and cytoplasmic processes containing a core of actin.
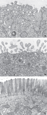
The micrograph shows the apical surfaces of epithelial cells with numerous _______. 
The micrograph shows the apical surfaces of epithelial cells with numerous microvilli. 
The micrograph of intestinal villi lined by absorptive epithelial cells shows a _______. 
The micrograph of intestinal villi lined by absorptive epithelial cells shows a brush border. 
Cilia can be classified into two types: _______ and _______.
Cilia can be classified into two types: Motile and Non-Motile.
The function of motile cilia includes _______ and is commonly found in the _______.
The function of motile cilia includes propulsion of surrounding fluid and is commonly found in the respiratory tract.
Non-motile cilia serve as _______ receptors, acting as chemical and mechanical sensors on most cells.
Non-motile cilia serve as sensory receptors, acting as chemical and mechanical sensors on most cells.
Cilia appear as small hairs under a _______ and show a dark line at the base called _______.
Cilia appear as small hairs under a light microscope and show a dark line at the base called basal bodies.
The core of cilia is made up of _______ and is anchored to the cell by _______.
The core of cilia is made up of microtubules and is anchored to the cell by basal bodies.
Cilia are important for the _______ and _______ functions in various tissues.
Cilia are important for the propulsion of fluid and sensory functions in various tissues.
Stereocilia function as a _______ in the ear and increase absorption in the _______.
Stereocilia function as a mechanoreceptor in the ear and increase absorption in the male reproductive system.
Stereocilia appear as very long hairs under a _______ and have a _______ in scanning electron microscopy (SEM).
Stereocilia appear as very long hairs under a light microscope and have a tiered appearance in scanning electron microscopy (SEM).
The core of stereocilia is made of _______ and is anchored by a _______.
The core of stereocilia is made of actin and is anchored by a terminal web.
Stereocilia are similar to _______ but not to _______.
Stereocilia are similar to microvilli but not to cilia.
The terminal web appears as a _______ at the base of microvilli.
The terminal web appears as a dark line at the base of microvilli.
The treadmilling mechanism in actin involves _______ and _______.
The treadmilling mechanism in actin involves polymerization and crosslinking.
Stereocilia have limited _______.
Stereocilia have limited movement.
Glands are categorized by how products are released, mechanism of secretion, and type of secretion. The two main types are _______ and _______.
Glands are categorized by how products are released, mechanism of secretion, and type of secretion. The two main types are exocrine and endocrine.
_______ glands secrete a product onto a surface directly or through _______ or tubes.
Exocrine glands secrete a product onto a surface directly or through ducts or tubes.
_______ glands secrete a product into connective tissue to enter the _______.
Endocrine glands secrete a product into connective tissue to enter the bloodstream.
Endocrine glands are sometimes called '_______' because of their haphazard layering pattern and lack of _______.
Endocrine glands are sometimes called 'epitheloid tissues' because of their haphazard layering pattern and lack of basal lamina.
The three types of exocrine gland secretion are _______, _______, and _______.
The three types of exocrine gland secretion are merocrine, apocrine, and holocrine.
Exocrine glands are characterized by their _______ structure and have a _______ around ducts.
Exocrine glands are characterized by their duct structure and have a layered organization around ducts.
Endocrine glands are distinguished by being _______ and _______.
Endocrine glands are distinguished by being vascular and lacking layering.
The three types of exocrine secretion mechanisms are _______, _______, and _______.
The three types of exocrine secretion mechanisms are merocrine, apocrine, and holocrine.
In merocrine secretion, the product is secreted via _______.
In merocrine secretion, the product is secreted via membrane bound vesicles.
Apocrine secretion involves the product being secreted with a thin layer of _______ and _______ surrounding it.
Apocrine secretion involves the product being secreted with a thin layer of cytoplasm and plasma membrane surrounding it.
An example of apocrine secretion is _______.
An example of apocrine secretion is mammary glands.
Holocrine secretion involves product accumulation within the cell, leading to _______ to release it.
Holocrine secretion involves product accumulation within the cell, leading to cell lysis to release it.
An example of holocrine secretion is _______.
An example of holocrine secretion is sebaceous glands.
Endocrine secretion is characterized by products being secreted through the basal lamina directly into the _______.
Endocrine secretion is characterized by products being secreted through the basal lamina directly into the blood stream.
Types of exocrine secretion include: - _______ - _______ - _______ - Others like milk and pancreatic enzymes.
Types of exocrine secretion include: - Mucous - Serous - Sebaceous - Others like milk and pancreatic enzymes.
Mucous secretion is characterized by being _______ and slimy with heavily _______ proteins.
Mucous secretion is characterized by being viscous and slimy with heavily glycosylated proteins.
Serous secretion is typically _______ and contains proteins that are _______.
Serous secretion is typically watery and contains proteins that are not glycosylated.
Sebaceous secretion consists of _______.
Sebaceous secretion consists of lipid products.
Endocrine glands secrete _______.
Endocrine glands secrete hormones.
Simple glands have a _______ duct, while compound glands have a _______ duct.
Simple glands have a unbranched duct, while compound glands have a branched duct.
The shape of glands can be classified as _______, _______, or _______.
The shape of glands can be classified as tubular, alveolar (acinar), or tubuloalveolar.
An example of a simple branched alveolar gland is _______.
An example of a simple branched alveolar gland is sebaceous (oil) glands.
Examples of compound glands include _______ and _______.
Examples of compound glands include mammary glands and salivary glands.
The term _______ describes a tubular shape where the tube is _______ rather than straight.
The term coiled describes a tubular shape where the tube is coiled rather than straight.
The _______ are an example of a simple tubular gland that is not found in adults, being a stage in development.
The intestinal glands are an example of a simple tubular gland that is not found in adults, being a stage in development.
Mucous glands in the mouth and bulbourethral glands in the male reproductive system are examples of _______ glands.
Mucous glands in the mouth and bulbourethral glands in the male reproductive system are examples of compound glands.
A gland that combines tubular and alveolar shapes is referred to as _______.
A gland that combines tubular and alveolar shapes is referred to as tubuloalveolar.
Goblet cells are unicellular glands that are specialized for _______ in the _______ and _______ systems.
Goblet cells are unicellular glands that are specialized for mucus secretion in the gastrointestinal and respiratory systems.
The structure of a goblet cell includes microvilli, secretory vesicles containing _______, rough ER, Golgi apparatus, and a nucleus.
The structure of a goblet cell includes microvilli, secretory vesicles containing mucin, rough ER, Golgi apparatus, and a nucleus.
In histological staining, mucin does not stain well in H&E, giving the goblet cell a _______.
In histological staining, mucin does not stain well in H&E, giving the goblet cell a goblet appearance.
Epithelial tissue can be classified by the number of layers into: - _______ (1 cell layer) - _______ (≥ 2 cell layers).
Epithelial tissue can be classified by the number of layers into: - simple (1 cell layer) - stratified (≥ 2 cell layers).
The unique classifications of epithelial tissue include: - _______ - _______.
The unique classifications of epithelial tissue include: - transitional - pseudostratified.
Simple squamous epithelium consists of _______ of _______.
Simple squamous epithelium consists of one layer of flat cells.
Simple squamous epithelium is found in the _______, _______, and _______.
Simple squamous epithelium is found in the vascular system, body cavities, and alveoli.
The main functions of simple squamous epithelium include _______ and _______.
The main functions of simple squamous epithelium include secretion/lubrication and gas exchange/diffusion.
In the vascular system, simple squamous epithelium is referred to as _______.
In the vascular system, simple squamous epithelium is referred to as endothelium.
In body cavities, simple squamous epithelium is known as _______.
In body cavities, simple squamous epithelium is known as mesothelium.
Simple cuboidal epithelium consists of _______ of _______.
Simple cuboidal epithelium consists of one layer of cube shaped cells.
Examples of locations where simple cuboidal epithelium can be found include: - _______ - _______ - _______.
Examples of locations where simple cuboidal epithelium can be found include: - small ducts - surface of ovaries - kidney tubules.
The main functions of simple cuboidal epithelium are _______ and _______.
The main functions of simple cuboidal epithelium are absorption and secretion.
Simple Columnar Epithelium consists of _______ of _______.
Simple Columnar Epithelium consists of one layer of columnar shaped cells.
Simple Columnar Epithelium is primarily located in the _______ and the _______.
Simple Columnar Epithelium is primarily located in the digestive tract and the gallbladder.
The main function of Simple Columnar Epithelium is _______ and _______.
The main function of Simple Columnar Epithelium is absorption and secretion.
Pseudostratified Columnar Epithelium appears _______ but is actually _______.
Pseudostratified Columnar Epithelium appears stratified but is actually simple columnar epithelium.
In Pseudostratified Columnar Epithelium, all cells rest on the _______, but not all reach the _______.
In Pseudostratified Columnar Epithelium, all cells rest on the basement membrane, but not all reach the apical surface.
Pseudostratified Columnar Epithelium can be _______ or _______.
Pseudostratified Columnar Epithelium can be ciliated or non-ciliated.
Location examples of Pseudostratified Columnar Epithelium include the _______ and _______.
Location examples of Pseudostratified Columnar Epithelium include the trachea and bronchial tree.
The main functions of Pseudostratified Columnar Epithelium are _______ and _______ as well as _______ (cilia).
The main functions of Pseudostratified Columnar Epithelium are secretion and absorption as well as propulsion (cilia).
Stratified Squamous Epithelium has an apical layer of _______ shaped cells and multiple layers underneath of varying shapes.
Stratified Squamous Epithelium has an apical layer of squamous shaped cells and multiple layers underneath of varying shapes.
Stratified Squamous Epithelium is found in the _______, _______, _______, and _______.
Stratified Squamous Epithelium is found in the epidermis, oral cavity, esophagus, and vagina.
The main function of Stratified Squamous Epithelium is _______.
The main function of Stratified Squamous Epithelium is barrier/protection.
Stratified cuboidal epithelium has an apical layer of _______ shaped cells and is often _______ layers thick.
Stratified cuboidal epithelium has an apical layer of cuboidal shaped cells and is often two layers thick.
Stratified cuboidal epithelium is considered a _______ tissue.
Stratified cuboidal epithelium is considered a rare tissue.
Examples of locations where stratified cuboidal epithelium is found include _______ and _______.
Examples of locations where stratified cuboidal epithelium is found include sweat gland ducts and large ducts of exocrine glands.
The main functions of stratified cuboidal epithelium are _______ and _______.
The main functions of stratified cuboidal epithelium are barrier/protection and conduit.
Stratified Columnar Epithelium has an apical layer of _______ shaped cells and is considered a _______ tissue.
Stratified Columnar Epithelium has an apical layer of columnar shaped cells and is considered a rare tissue.
The main functions of Stratified Columnar Epithelium include _______ and _______.
The main functions of Stratified Columnar Epithelium include barrier/protection and conduit.
Stratified Columnar Epithelium is found in the _______ and _______.
Stratified Columnar Epithelium is found in the male urethra and large ducts of exocrine glands.
Transitional epithelium is characterized by multiple layers of cells with varying shapes, including _______ cells. It is primarily located in the _______, _______, and _______.
Transitional epithelium is characterized by multiple layers of cells with varying shapes, including dome-shaped cells. It is primarily located in the ureters, bladder, and urethra.
The main functions of transitional epithelium include acting as a _______ and being _______.
The main functions of transitional epithelium include acting as a barrier and being distensible.
The top layer of transitional epithelium is referred to as _______ or _______ when not distended.
The top layer of transitional epithelium is referred to as umbrella cells or dome-shaped cells when not distended.
Transitional epithelium is found in the urinary tract, specifically in the _______, _______, and _______.
Transitional epithelium is found in the urinary tract, specifically in the ureters, bladder, and urethra.
Transitional epithelium consists of multiple layers of cells, including the top layer known as _______.
Transitional epithelium consists of multiple layers of cells, including the top layer known as umbrella cells.
The basal domain of epithelial cells includes junctions with the basal lamina, such as hemidesmosomes and focal adhesions.
Tight Junctions, also known as Occluding Junctions, are located on the lateral border of epithelial cells and seal off lateral spaces to create a barrier.
The main proteins involved in tight junctions are occludin and claudin, which connect to the cytoskeleton via actin filaments.
Adherens Junctions, also known as Zonula Adherens, are located on the lateral border of cells and function as a type of anchoring junction.
Histological identifiers for Adherens Junctions include SEM and a clear space between cells, as well as increased density in the cytoplasm.
Desmosomes, also known as Macula Adherens, are located on the lateral border of cells and function as a type of anchoring junction.
Histologically, desmosomes can be identified by a sandwich of two dark plates and fibers extending from these plates, known as intermediate filaments.
Gap junctions are located on the lateral border of adjacent cells and are a type of communicating junction.
Histological identifiers for gap junctions include SEM and the narrowing of the gap between membranes.
The hemidesmosome is a type of anchoring junction located on the basal border of cells, connecting them to the basal lamina.
Hemidesmosomes reinforce bonding similar to desmosomes and are composed of junction proteins which are integrins
Focal adhesions are located on the basal border and serve as a type of anchoring junction between the cell and the basal lamina.
The types of junctions include: - Tight Junctions: Seals adjacent epithelial cells together; prevents leakage. - Adherens Junctions: Joins actin bundles between cells. - Desmosomes: Anchors intermediate filaments between cells. - Gap Junctions: Allows passage of small water-soluble molecules. - Hemidesmosomes: Anchors intermediate filaments to basal lamina.
The junction that binds cells to adjacent cells through actin filaments is called Adherens/Zonula Adherens.
The junction that anchors cells to basal lamina through intermediate filaments is called Hemidesmosomes.
The junction that binds cells to adjacent cells through intermediate filaments is called Desmosomes/Macula Adherens.
Apical modifications are present on the apical cell surface and are usually found on columnar shaped cells.
Microvilli are the shortest extension of membrane, while cilia are of medium length and stereocilia are the longest.
Histological identifiers for microvilli include a pinkish haze at the apical surface and a dark line at the base of microvilli called the terminal web.
The properties of microvilli include limited movement and cytoplasmic processes containing a core of actin.
The function of motile cilia includes propulsion of surrounding fluid and is commonly found in the respiratory tract.
Non-motile cilia serve as sensory receptors, acting as chemical and mechanical sensors on most cells.
Cilia appear as small hairs under a light microscope and show a dark line at the base called basal bodies.
Stereocilia function as a mechanoreceptor in the ear and increase absorption in the male reproductive system.
Stereocilia appear as very long hairs under a light microscope and have a tiered appearance in scanning electron microscopy (SEM).
Glands are categorized by how products are released, mechanism of secretion, and type of secretion. The two main types are exocrine and endocrine.
Endocrine glands are sometimes called 'epitheloid tissues' because of their haphazard layering pattern and lack of basal lamina.
Exocrine glands are characterized by their duct structure and have a layered organization around ducts.
Apocrine secretion involves the product being secreted with a thin layer of cytoplasm and plasma membrane surrounding it.
Holocrine secretion involves product accumulation within the cell, leading to cell lysis to release it.
Endocrine secretion is characterized by products being secreted through the basal lamina directly into the blood stream.
Types of exocrine secretion include: - Mucous - Serous - Sebaceous - Others like milk and pancreatic enzymes.
The intestinal glands are an example of a simple tubular gland that is not found in adults, being a stage in development.
Mucous glands in the mouth and bulbourethral glands in the male reproductive system are examples of compound glands.
Goblet cells are unicellular glands that are specialized for mucus secretion in the gastrointestinal and respiratory systems.
The structure of a goblet cell includes microvilli, secretory vesicles containing mucin, rough ER, Golgi apparatus, and a nucleus.
In histological staining, mucin does not stain well in H&E, giving the goblet cell a goblet appearance.
Epithelial tissue can be classified by the number of layers into: - simple (1 cell layer) - stratified (≥ 2 cell layers).
The main functions of simple squamous epithelium include secretion/lubrication and gas exchange/diffusion.
Examples of locations where simple cuboidal epithelium can be found include: - small ducts - surface of ovaries - kidney tubules.
In Pseudostratified Columnar Epithelium, all cells rest on the basement membrane, but not all reach the apical surface.
The main functions of Pseudostratified Columnar Epithelium are secretion and absorption as well as propulsion (cilia).
Stratified Squamous Epithelium has an apical layer of squamous shaped cells and multiple layers underneath of varying shapes.
Stratified cuboidal epithelium has an apical layer of cuboidal shaped cells and is often two layers thick.
Examples of locations where stratified cuboidal epithelium is found include sweat gland ducts and large ducts of exocrine glands.
Stratified Columnar Epithelium has an apical layer of columnar shaped cells and is considered a rare tissue.
Transitional epithelium is characterized by multiple layers of cells with varying shapes, including dome-shaped cells. It is primarily located in the ureters, bladder, and urethra.
The top layer of transitional epithelium is referred to as umbrella cells or dome-shaped cells when not distended.
Transitional epithelium is found in the urinary tract, specifically in the ureters, bladder, and urethra.
Transitional epithelium consists of multiple layers of cells, including the top layer known as umbrella cells.
Are you sure you want to delete 0 flashcard(s)? This cannot be undone.
Select tags to remove from 0 selected flashcard(s):
Loading tags...